set2 - sergey5set2 - sergey6
Sergey / Russia

Multilayer Monolithic Zirconia

set2 - sergey3set2 - sergey4
Sergey / Russia

Multilayer Monolithic Zirconia

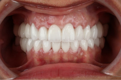
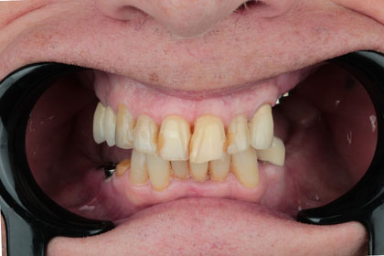
set2 - sergey1set2 - sergey2
Sergey / Russia

Multilayer Monolithic Zirconia

set2 - numan1set2 - numan2
Numan / Turkey

All on 6

set2 - Nikola1set2 - Nikolai2
Nikolai / Russia

Multilayer Monolithic Zirconia

set2 - melissa3set2 - melissa4
Melissa / Canada

Zirconia Smile Makeover

set2 - melissa1set2 - melissa2
Melissa / Canada

Zirconia Smile Makeover

set2 - fatna3set2 - fatna4
Fatna / Spain

All on 6 + Zirconia

set2 - fatna1set2 - fatna2
Fatna / Spain

All on 6 + Zirconia

set2 - fatıma3set2 - fatıma4
Fatima / France

Implants + Zirconia

set2 - fatıma1set2 - fatıma2
Fatima / France

Implants + Zirconia

website vaka set 1 - 15website vaka set 1 - 16
Elif / Turkey

Non-Prep E.max Laminate Veneers

Adsız tasarım - 13Adsız tasarım - 14
Elif / Turkey

Non-Prep E.max Laminate Veneers

website vaka set 1 - 11website vaka set 1 - 12
Duygu / Turkey

Non-Prep E.max Laminate Veneers

Adsız tasarım - 9Adsız tasarım - 10
Duygu / Turkey

Non-Prep E.max Laminate Veneers

Adsız tasarım - 7Adsız tasarım - 8
Gülay / Azerbaijan

Min-Prep E.Max Laminate Veneers

Adsız tasarım - 5Adsız tasarım - 6
Gülay / Azerbaijan

Min-Prep E.max Laminate Veneers

Adsız tasarım - 3Adsız tasarım - 4
Nina / Bosnia

All on 6 + Zirconium

Adsız tasarım - 1Adsız tasarım - 2
Katya / Russia

Pink Aesthetic + Multilayer Zirconium

Adsız tasarım - 1Adsız tasarım - 2
Zubair / UK

Zirconium Crowns

Adsız tasarım - 1Adsız tasarım - 2
Max / UK

Zirconium Crowns

Adsız tasarım - 1Adsız tasarım - 2
Shakiya / USA

E.max Veneers

Adsız tasarım - 1Adsız tasarım - 2
Merve / Turkey

E.max Laminate Veneers

Adsız tasarım - 1Adsız tasarım - 2
Johan / Germany

 

Adsız tasarım - 1Adsız tasarım - 2
Khalida / France

E.max Veneers

Adsız tasarım - 1Adsız tasarım - 2
Palwasha / USA

Zirconium Crowns

Adsız tasarım - 1Adsız tasarım - 2
Bilal / Germany

Zirconium Crowns

Adsız tasarım - 1Adsız tasarım - 2
Baasil / UK

Zirconium Crowns

Adsız tasarım - 1Adsız tasarım - 2
Aylin / Germany

Monolytic Implant Zirconium Crowns

Adsız tasarım - 1Adsız tasarım - 2
Angela / Switzerland

Laminate Veneers

Take the first step toward solving
your dental health problems today.

Adsız tasarım - 1Adsız tasarım - 2
Maria / UK

Zirconium Crowns

Adsız tasarım - 1Adsız tasarım - 2
Amy / UK

Zirconium Crowns

Adsız tasarım - 1Adsız tasarım - 2
Khalida / France

E.max Veneers

Adsız tasarım - 1Adsız tasarım - 2
Alisha / UK

Zirconium Crowns

Adsız tasarım - 1Adsız tasarım - 2
Ahmad / France

Zirconium Crowns

Adsız tasarım - 1Adsız tasarım - 2
Abdülkadir / France

Zirconium Crowns

Adsız tasarım - 1Adsız tasarım - 2
Rosario / France

Hybrid prostheses, Full mouth implants

Adsız tasarım - 1Adsız tasarım - 2
Redouane / France

Hybrid prostheses, Full mouth implants

kayley1-before-hybrid-protheses-full-mouth-implantskayley2-after-hybrid-protheses-full-mouth-implants
Kayley / UK

Hybrid prostheses, Full mouth implants

Adsız tasarım - 1Adsız tasarım - 2
Michael / USA

Monolithic Zirconium

ben1-before-whitening-composite-bondingben2-after-whitening-composite-bonding
Ben / UK

Whitening + Composite Bonding

Adsız tasarım - 1Adsız tasarım - 2
Dania / Netherlands

Pink Aesthetic & Laminate Veneers

Adsız tasarım - 1Adsız tasarım - 2
Jennifer / Belgium

E.max Crowns

Adsız tasarım - 1Adsız tasarım - 2
Ksenia / Russia

Emax Crowns and Laminate Veneers

Adsız tasarım - 1Adsız tasarım - 2
Zubair / UK

Zirconium Crowns

Adsız tasarım - 1Adsız tasarım - 2
Tony / Scotland

Implant Crowns

Adsız tasarım - 1Adsız tasarım - 2
Yamina / France

Zirconium Crowns

Adsız tasarım - 1Adsız tasarım - 2
Nuray / Turkey

Zirconium Crowns

Adsız tasarım - 1Adsız tasarım - 2
Christina / UK

Zirconium Crowns

ramazan1-before-zirconium-crownsramazan2-after-zirconium-crowns
Ramazan / Switzerland

Zirconium Crowns

piotr1-before-zirconium-crownspiotr2-after-zirconium-crowns
Piotr / UK

Zirconium Crowns

Adsız tasarım - 1Adsız tasarım - 2
Talal / Kuweit

All on 6 Implants - Hybrid Prosthetics

palwasha3-before-zirconium-crownspalwasha4-after-zirconium-crowns
Palwasha / USA

Zirconium Crowns

nabil1-before-zirconium-crownsnabil2-after-zirconium-crowns
Nabil / France

Zirconium Crowns

Adsız tasarım - 1Adsız tasarım - 2
Mohamed / France

Zirconium Crowns

Adsız tasarım - 1Adsız tasarım - 2
Uli / UK

Implants & Zirconium Crowns

fatoumata1-before-zirconium-crownsfatoumata2-after-zirconium-crowns
Fatoumata / USA

Zirconium Crowns

mark1-before-zirconium-crownsmark2-after-zirconium-crowns
Mark / Ireland

Zirconium Crowns

Adsız tasarım - 1Adsız tasarım - 2
Kamil / UK

E.Max Veneers

Adsız tasarım - 1Adsız tasarım - 2
Angela / Spain

E.max Veneers

Adsız tasarım - 1Adsız tasarım - 2
Uli / UK

Zirconium Crowns

franky1-before-zirconium-crownsfranky2-after-zirconium-crowns
Franky / Switzerland

Zirconium Crowns