How to Get Rid of Tartar and Plaque?
What is a Plaque?
Ever felt a tingling feeling at your teeth when you wake up? Plaque buildup is the reason for that feeling. Our mouth is an ecosystem on it’s own. It holds millions of bacteria in it and these bacteria form huge groups that latch on to our teeth. The formation of these bacteria has a name. We call it ‘plaque’ formation. It becomes most apparent when we don’t brush our teeth regularly. It makes your tongue and teeth feel downy and tingly. Most of the time ıt doesn’t have any noticeable color. Even if it does, it’s a very pale yellowish color.
Plaque formation happens every time we eat a food that contains carbohydrates and sugars. Bacteria feed on the carbs/sugars and this creates acid in our mouth. This acid is harmful to our teeth and can result in various gum and teeth problems that can range from gingivitis to severe cases of tooth decay.
Which Foods to Avoid Plague?
You can’t avoid foods just because you don’t want plaque formation. We all are gonna eat carbs and we should eat them. They are our energy suppliers. Not to mention majority of the foods contain carbs and sugars anyway. The only thing you need to take care of is to limit your sugar intake. High sugar intake can easily support plaque growth and tooth decay. So, the optimal plan is to minimize your sugary food or drink intake in daily basis. Limit the deserts, dairy products, candy, chocolate, soda, cake … etc. These are the foods that you should watch out.
How to Get Rid of Plaque
You only need to do one thing to prevent plaque from creating their own ecosystem at your mouth. Having a good oral hygiene… Literally, there is nothing you need to do other than to brush your teeth for two and a half minutes at mornings and right before going to bed. This cleans your entire mouth and kills the unnecessary plaque formation at your teeth. Floss is also a good tool to eliminate the plaque formations that you don’t see and can’t reach because of the brush’s limitations. Using an antibacterial mouth rinse is a good tool that you can utilize as well.
What Happens if We Forget to Brush Our Teeth One Too Many Times?
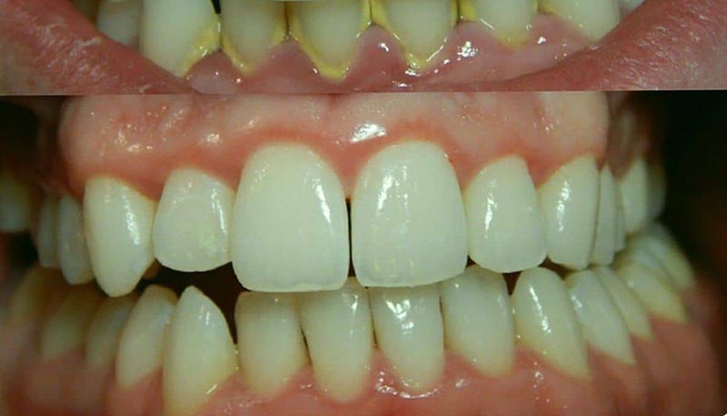
Plaque itself is not a thing that you should worry about. Daily brushing, using a floss and a mouth rinse is enough for the most part to clear your teeth from bacteria build up. But, when you don’t have a good oral hygiene, all that plaque build up creates tartar on your teeth. Dentists call this as calculus teeth or tartar teeth. After this point, it becomes a dental procedure. Patients should never try to take tartar off with their own items. Not only is it unnecessary, it’s also very dangerous for the patient’s gum health.
What is Tartar?
If you fail to clean your mouth from dental plaque build up, all those bacteria in plaque formation turn into a hard dental calculus. Tartar is the name of this calculus. It has a yellowish color and can form at the starting point of your gumline. Just between the teeth and the gums. Tartar is a hard tissue and can cause various gum and teeth problems. If it’s too close to your gumline, it can irritate your gums and cause inflammation. This inflammation can result in gingivitis and gum recession. All of these problems can directly result in tooth decay and tooth loss. Latter being the worst thing you can get.
How to Remove Tartar From Teeth Without a Dentist?
You can’t. You can get rid off plaque with a consistent dental hygiene. However, if you leave that plaque build up undisturbed for too long, it will harden itself into a hard calculus called tartar. At this point, only a dentist can successfully do the tartar removal procedure. If you are at that point, see a dentist.
How To Treat Tartar?
When you have tartar tissues, it’s harder to brush and floss your teeth. Because of that, you can’t really brush your way out of this with a good oral hygiene. You have to make an appointment with your dentist and let him/her do a oral examination. After this examination, your dentist will clean your tartar tissue with dental tools. After the cleaning you need to be really careful with your oral hygiene to prevent any future tartar problems. Don’t forget, unchecked tartar can result in gingivitis and later on, periodontitis.
Tips To Prevent Tartar
- Watch your diet. Limit sugary foods and drinks.
- Smoke less. Smoking increases your chances of getting tartar.
- Brush your teeth twice a day for two and a half minutes.
- Use a floss to clean the gumline with more accurate precision.
- Do a dental check-up twice a year.
Summary
Plaque formation happens after every time we eat. It’s a natural process. But, leaving it there is the real problem. Tartar formation is bad for our overall dental hygiene. We should brush our teeth twice a day to prevent that hard tissue from forming. If you already have one, visit a dentist and get it cleaned.
