How to Properly Treat Gum Diseases
Dental treatments are becoming bigger and bigger every year. We all have reasons to take these procedures. Some of us don’t have teeth , some has chipped or stained teeth or some people downright want to change their overall smile. Aesthetical changes are pretty much the most common treatment that we do in Istanbul. But we don’t take our gum health as seriously as we should. It’s a matter that always falls behind our teeth problems. Because they play a second fiddle to our overall teeth issues, it allows gum diseases to go untreated for extended periods. All of this results in a cycle that damages our teeth.
Because of this, you need a consistent oral hygiene. That’s the most natural and easy method to prevent gum diseases. But some cases might be severe and you can’t brush it off. In this blog, we will give you every information you need to know about gum diseases and to prevent them from happening again.
Types of Gum Disease
Compared to tooth problems, gum diseases are known for their stages. There are only 2 stages in a gum disease. And they are heavily linked. First stage is called GINGIVITIS, which is inflammation of the gum tissue. The second stage is PERIODONTITIS, which only happens if gingivitis goes untreated, can result with a tooth loss.
Gingivitis
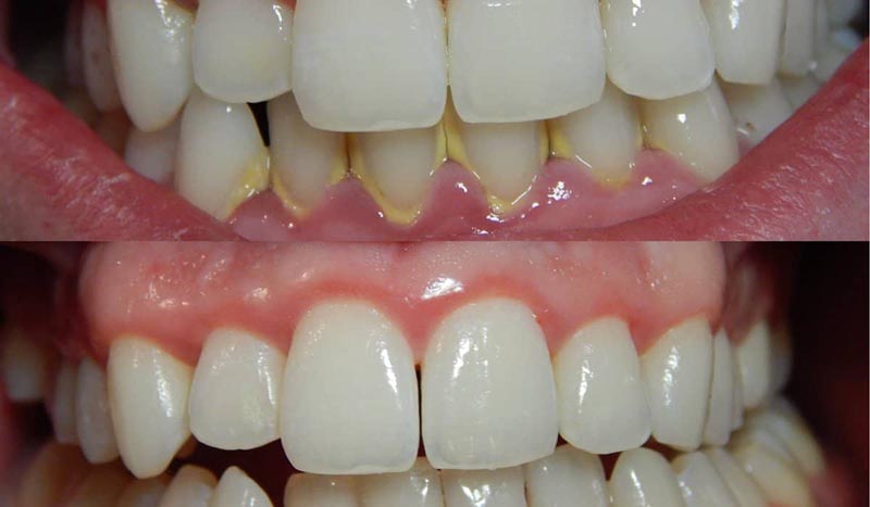
Gingivitis is a periodontal disease caused by the accumulation of the plaques and bacteria on the teeth. In the beginning, it starts at the gumline. But, in time, the entire gum structure get infected. It’s mostly non problematic and can be reversed with a good oral hygiene. Because of the bacteria and plaque build up, the gums get irritated and swell. Their texture turns to a reddish color and look puffier. Swollen gums bleed very easily. That’s why if you bleed easily while brushing, make sure to check out other symptoms of gingivitis.
Periodontitis
This disease is actually a continuation of the gingivitis. If you already have a gingivitis condition, and you left it untreated, it turns into periodontitis. When you reach this point, you need dental treatment to reverse the effects. But, patients mostly get the optimal treatment before experiencing the worst case scenario. The worst case scenario means the loss of a tooth and a compromised gum health. A loss of a tooth can affect your dental health in various ways. Not to mention, after you lose a couple of teeth, more expensive treatments will be needed. Lets dive into more information about these two.
What Are the Differences Between the Gingivitis and the Periodontitis
Our mouth is a very complicated place and millions of bacteria inhabit our mouth as their home. Some of these bacteria and plaque formations harm our gums. When you brush your teeth, you actually get rid of these harmful bacteria and stop these formations on their tracks. But, if you don’t really take good care of your teeth, all of those bacteria build up in your gums. This results in an irritated gum structure. An irritated gum structure looks reddish in color and feels puffier/tender. Not to mention it bleeds much more easily when brushing your teeth. When you are at this point, the damage is pretty much reversible. Because the teeth are still not infected in it’s core and there are no permanent bone or tissue damage yet. This is also the point where you need to take action as soon as possible.
If gingivitis is left untreated, there is a possibility that it can advance into periodontitis. Your gingivitis doesn’t necessarily turns into periodontitis 100% of the time. But, it’s a possibility nonetheless and periodontitis is a lot more dangerous than gingivitis. ‘It wont happen to me’ mentality should be avoided at this point. When it happens, your gumline starts to recede and form pockets. The area between the teeth and gum becomes empty and start to collect this bad bacteria and therefore gets infected. Because of this, your body starts the alarm and your immune system defends itself against it.
By defending it, it chops your teeth’s bone and connective tissue. Because our body only knows how to handle this problem with chopping the issue from bottom. Just like the cancer, amputation is the way our body copes with this problem. Over time, more bone and connective tissue gets chopped. All of this results in the tooth getting loose and one day, suddenly that tooth breaks. Resulting in this vicious cycle, which is the reason why gum diseases is the number one reason for the tooth loss at adults. But there are other things that cause it.
What Are the Other Causes of Gum Disease
We already talked about how the bacteria and plaque formation triggers the immune system in the body and how that immune system deals with the situation. Most of the time these bacteria we talked about is the primary cause of the formation of gingivitis and later on periodontitis. But lets dive into other factors:
- Age. Older people have more chance to get gingivitis.
- Smoking. Smoking increases the chances for you to get gum disease.
- Vitamin A. Deficiency of these vitamins can result in gum problems.
- Genetic predisposition. You might it from your family.
- Hormonal changes. Hormonal fluctuation is linked to development of gingivitis.
- Cancer and HIV. It’s a possibility of people with this diseases to develop gingivitis.
Signs of Gum Disease
The first step of the treatment is always to look for symptoms. But in order to do that, you must know what to look for. There are lots of defining symptoms about gingivitis. As long as you take action against those, your gingivitis can’t turn into periodontitis. The main symptoms to look for are:
- Red, swollen, tender gums. Reddish color means inflammation.
- Bleeding during and after tooth brush. More tricky, it can simply be a harsh brushing.
- Bad breath. A bad breath even after brushing your teeth perfectly.
- Yellow line at the top side of your teeth-gum line. Can be a tartar – symptom for gum disease.
- Receding gums. Symptom of periodontitis.
- Loose teeth or unfit bite. Symptoms of periodontitis.
How to Diagnose Gum Disease
Dentists will find out the problem in a single appointment. They will look for the symptoms and will perform an oral examination. They will also check your jaw bones. This is to see if there are any periodontitis formation happening in the area. This examination also includes tartar and plaque formations in the mouth.
How to Cure Gum Disease
Are gum diseases curable? Is a question that we often get. We say, it all depends on the stage you are at and how well you respond to a normal medication and a good oral care. Most of the time a surgery is not needed and conventional dental care methods are enough to cure them. Sometimes just a consistent tooth brushing, using a floss and taking inflammatory medication is enough to get rid off gingivitis. But, if the situation is out of control, we also do non-surgical and surgical treatments to stop the problem from advancing. Some of these treatments are as follows.
Teeth Cleaning
This cleaning is for making sure that you don’t have unwanted tartar and plaque build up in your teeth. With this method, we clean your mouth from ear to ear and make sure gums and teeth are clean. This prevents the inflammation and stop gingivitis from happening.
Tartar Cleaning
We do tartar cleaning when the patient have tartar and plaque build up in the gums and show symptoms of gingivitis. Local anesthesia is used in this procedure. We take care of the tartar and plaque/bacteria build up and connect the gums to your teeth without any tartar between them.
Flap Surgery
This is a treatment that requires surgery. In this treatment, we reduce the area between gums and tooth. With this, the places that bacteria can grow are no longer there. We do that by flapping the gums and removing the extra tartar issue. Then we put the gums back to where they should be.
Tissue Grafts
This is a surgical method that we use when the patients have a very recessed gum line. We take some tissue from the roof of the mouth where your tongue sits. Then put this extra tissue to your recessed gums. With the help of the extra tissue, your gums will start to look normal.
Bone Grafts
This is also a surgical method that we use when the patients jaw bone is heavily damaged and has problems holding the teeth in place. We use the graft to help the regrowth of the bone. With this, the tooth stability is ensured by the bone graft. Check bone grafts in the dental implants section to learn more.
NOTE: All of these surgical and non-surgical treatment methods are only used as the last cause. Most of the time antibiotics and other therapies are enough to take control of the gingivitis.
Conclusion
Gum diseases should get the same attention as the teeth problems as they are heavily linked to each other. Most of the time people don’t take action and this results in a tooth and bone loss. Instead of that, give attention to the symptoms and don’t wait to take action. This will save you time and money. Never forget to brush and floss your teeth and never ever forget to take some dental examinations 2 times a year to see if everything is going okay. At Dentvibe clinic, we wish you speedy recovery if you are dealing with this diseases.
